26岁小伙心衰了!真凶竟是这种常用药物?

2023-07-12 13:22   109   0  
点击上方“医学之声”,关注后了解更多精彩内容!

来源:医学之声 



最近生意不太好,我还是按时在七点到了办公室,像往常一样打开了空空如也的邮箱。可是今天却有点不一样,我发现邮箱里竟然有一封信。

我赶紧拆开信封,“敬爱的侦探,我是一个26岁的年轻人,最近不知怎么患上了心脏衰弱,一动就气喘,只能写信求助,请您帮我找出真相……”

收到委托信,我立刻兴奋起来,悄悄进了事务所,在门上挂了个“暂时离开”的牌子,坐到办公桌前,认真读起委托信。

案情速递



信件主要内容

我从小就很胖,虽然不擅长运动,但学习成绩很好,我喜欢推理,常自称是赫尔克里·波洛的化身,所以大家都叫我“波仔”。

我把大部分时间用在学习上,忽略了锻炼,考进了理想的大学,但体重也不断增加,现在一动就气喘。我当时想,可能是我太胖了,但是父母也胖,遗传的我也无能为力。

后来,我又有了便秘、皮肤色斑的症状,这才想着去检查一下。

先诊断出“甲减”,药物治疗没什么效果,后来又检查出类固醇过高,说是库欣综合征

这我就不明白了,为什么运动员可以吃类固醇来增强肌肉,我类固醇高了就只长脂肪?

后来就是越查越恐惧,我脑垂体上有一个瘤,得做手术切掉,这是胖、无力等一系列病症的原因。

两个月前,我鼓足勇气做了手术,术后服药治疗,但我还是觉得无力,气喘得越来越严重。

再次检查,这个结果让我大吃一惊,居然是心力衰竭!

我才26岁啊,为什么会得老年人的病啊......

我根据信上的地址,找到了波仔的家,门口是波仔的父亲,波仔躺在一个超大号的床上,上身被枕头垫着,庞大的身体似乎要从床上溢出来,他的母亲忧心的守在旁边。我叹息道,这一家三口的体重加起来能赶上我家祖孙三代,也是这样的遗传的肥胖让他错过了治疗的时机。

我坐到波仔的旁边,简单地自我介绍了一下,然后进入主题。

根据信里的描述,波仔是一个“垂体腺瘤合并中枢性甲减、库欣病”的患者,两个月前做了垂体腺瘤的手术,目前正在服用氢化可的松20mg/天的维持治疗,最近3周出现气喘的症状,被怀疑是心力衰竭。

“体温正常,血压正常,心率加快、呼吸加快,氧饱和度97%。明显的库欣病容,面部粉刺、圆脸、驼峰、腹部肥胖、上肢和腹部有紫纹。”我边检查边说。

波仔的母亲在一旁说道:“波仔一直是个乖孩子,爱读书、爱学习,从不抽烟、不喝酒、不吸毒,也不出去玩,我们家里除了胖,没有别的遗传病。”

“您提供的信息很有帮助,”我边检查边说,“无颈静脉充盈,双肺底湿啰音,心率和节律正常,无杂音、摩擦音,双下肢水肿,指甲有黑色素沉着。波仔,不要害怕,根据初步检查,我也觉得你有左心衰竭。但是心衰只是一个表现,更关键的是找出引起心衰的原因。现在我只有病史和查体,线索不够,无法形成有力的证据,我需要你的配合,咱们马上就要去做一些检查。”

由于波仔胖得厉害、呼吸困难,收集线索的过程很艰难,经过一番努力,收集了以下线索,可以让我进行推理。

·线索汇总·


胸片:心脏肥大,肺血管充血,提示充血性心力衰竭。


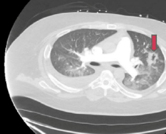
胸部CT增强扫描:肺血管充血、水肿,左上叶局灶性实变,左肺野空化病变,双侧胸腔积液,左上肺活检显示为非特异性炎症和纤维化。(图1)

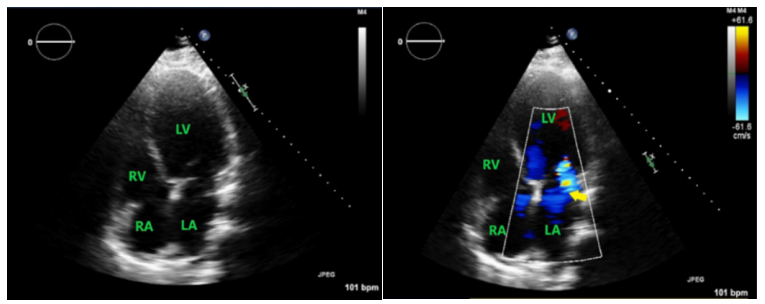
经超声心动图:双房大、左室大,二尖瓣中度返流,三尖瓣中度返流,心室厚度正常,严重左室功能障碍和弥漫性运动减退,左室射血分数严重减低(图2)。


经食管超声心动图:未见赘生物、血栓或卵圆孔未闭。


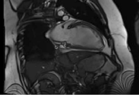
心脏MRI:EF 18%,左心室舒张末内径69mm,舒张末期左室容量298ml(正常52-195ml),收缩末期左室容量245ml(正常13-72ml),未见心肌纤维化或瘢痕的证据。


造影:左室造影发现严重的左心室功能障碍,未发现冠状动脉疾病,未见主动脉功能不全。


心电图:窦性心律。


呼吸道和肠道病毒病原检测、免疫学指标阴性。


 图1 胸部CT增强扫描

 图2 心脏彩超

 
图3 心脏MRI
 
◉案件的所有线索全部集齐,大家不妨停顿一下,自行推理一下呢?谜底就在下文了~


深入解析


面对听众期盼的目光,我开始了自己的推理:“不要害怕,比你想象的要好一点。”

波仔软软地问道:“心衰?”

他说:“是的,我明白。我想知道的是,为什么我会得心力衰竭?我一直很注意锻炼身体,饮食也很健康,没有高血压、糖尿病等慢性病。我是不是遗传了什么基因?还是受了什么外界的影响?”

“扩心?”

首先,我们要排除感染性心肌炎,这是最常见的心肌扩张的原因之一。你有没有发烧、咳嗽、胸闷等症状?我们要做血常规、血培养、心肌酶谱等检查,看看有没有感染的迹象。”我说。


“其次,我们要排除代谢性心肌病,这是由于内分泌系统或者营养代谢紊乱导致的心肌损害。你有没有甲状腺功能异常、电解质紊乱、缺铁性贫血等情况?我们要做甲功、电解质、血红蛋白等检查,看看有没有代谢异常。”我继续说。


“再次,我们要排除免疫性心肌病,这是由于自身免疫系统攻击心肌细胞导致的心肌损害。你有没有其他的自身免疫性疾病,比如类风湿关节炎、系统性红斑狼疮等?我们要做抗核抗体、抗心肌抗体等检查,看看有没有免疫异常。

·排除诊断·

1、冠状动脉通畅,没有堵塞或者狭窄,不是心肌缺血的原因。


2.病原检测没有发现病毒的存在,不是病毒感染引起的心肌损伤。


3.没有心尖部变形,没有精神创伤,不是由于情绪激动导致的心肌功能障碍。

4.没有家族史和心电图改变,排除遗传性心肌病和通道病。


5.没有喝酒的习惯,不是由于酒精损害心肌导致的心肌病。


6.疫学指标正常,不是由于自身免疫系统攻击心肌细胞导致的心肌炎或者其他自身免疫病。


7.肺部CT结果正常,不是由于结节病引起的肺部异常。


8. 心脏MRI正常,不是由于心肌淀粉样变引起的心肌功能障碍。


“都没有。”波仔的声音有些沮丧。

“不,还有另外一种可能!”我说到这里,故意顿了一下,感觉背景音乐应该是“只有一个真相”的旋律!


END

医学之声出品 未经授权禁止转载


/ 相关阅读 /

·15岁中考生咳嗽隐瞒父母,引发终末期心衰靠ECMO存活,跨省500公里转运抢救

/ 推荐阅读 

·这样教你看心电图,没有理由看不懂 !

文章引用微信公众号"医学之声",如有侵权,请联系管理员删除!

博客评论
还没有人评论,赶紧抢个沙发~
发表评论
说明:请文明发言,共建和谐网络,您的个人信息不会被公开显示。