读完此文,终于学会看胸片了

2023-06-16 20:01   108   0  
点击上方“医学之声”,关注后了解更多精彩内容!

来源:医学之声 



胸部x线胸部正常解剖及变异





胸部正位片与胸部侧位片


1.胸部正位片
临床拍标准的胸部正位片其实是后前位片,如上图。


上图为正常胸部后前位片

2.胸部侧位片
上图是胸部侧位片的拍摄,一般采取右侧位拍片,如果看心脏影可以采取左侧位片。
上图为胸部侧位片
下面为大家依次介绍胸部正常X线解剖

1.肺叶段X线解剖


肺叶
右肺:由水平裂和斜裂分为上、中、下三叶
肺:由斜裂分为上、下两叶

斜裂:起自第5胸椎水平,倾斜向前下,大致与第6肋骨平行,止于前胸膜沟(前肋膈窦)后方数厘米的膈肌处。

水平裂:大致呈水平走形,与第4前肋大致同水平,前部常低于后部,外侧部常低于内侧部。

上图为:右肺上叶在正位与侧位的投影区域

上图为:右肺中叶在正位与侧位的投影区域 

上图为:右肺下叶在正位与侧位的投影区域 。由于X线片是二维投影,因此中叶和下叶有一定的重叠。


上图为:左肺上叶在正位与侧位的投影区域 。 

上图为:左肺下叶在正位与侧位的投影区域
由于正位片通常会有一定的的重叠,因此侧位片可以对重叠部位的区域的定位起到很好的补充!


2.肺纹理


肺纹理为自肺门向肺野呈放射状分布的树枝状阴影,它主要是肺动脉的投影,肺静脉、支气管和淋巴管也参与形成。肺纹理由肺门向外围延伸,逐渐变细,至肺野外带渐细小而稀少,距侧胸壁内缘约1cm范围内的肺野基本无肺纹理可见(图下图)。 

3.肺野、肺带的划分 


纵隔两旁含气的肺在胸片上所显示的透明区域称肺野,其透明度随呼吸而改变,深吸气时肺内含气量增多,透明度增高,呼气时则相反。 
为便于指明病变的部位,通常人为地将一侧肺野纵向分为三等分,即内、中、外带。分别在两侧第2、4肋骨前端下缘划一水平线,将肺野横向分为上、中、下三个肺野。(如上图)。 

4.肺门的大小和位置


x线肺门指肺动脉、肺叶动脉、肺段动脉、伴行支气管以及肺静脉构成。
右肺门可分为上、下两部。上部约占1/3,由上肺静脉、上肺动脉及下肺动脉后回归支构成。上肺静脉下后干构成右上肺门的外缘;右肺门下部 约占2/3,由右下肺动脉干构成,其正常宽度不超过15mm,沿中间段支气管外缘平行向外下走行。右肺门上、下部相交形成一钝的夹角,称肺门角,正常该角顶清晰。如下图


左肺门亦分为上、下两部。上部由左肺动脉及其分支、左上叶支气管和左上肺静脉及其分支构成;下部由左下肺动脉及其分支构成,常被心影所遮盖。


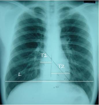
5.心影位置及大小


T1:心脏最右缘至前正中线距离
T2: 心脏最左缘至前正中线距离
L:通过膈肌顶部至两侧胸廓内沿并平行于膈肌的线

心胸比=(T1 T2)/L
1.正常<=0.50
2. 轻度增大 0.51-0.55
3. 中度增大0.56-0.60
4. 重度增大>=0.60

6. 纵隔的分区


纵隔位于胸骨之后,胸椎之前,介于两肺中间,从上至下、自前至后把胸腔分为左右两半。其上界是胸腔入口,下界为膈。两侧为纵隔胸膜和肺门。其中有心脏、大血管、气管、主支气管、食管、淋巴组织、胸腺、神经及脂肪等器官和组织。 


纵隔的分区对确定纵隔病变的部位和分析病变性贡有重要意义。一般采用九分区法,即在侧位胸片上将纵隔划分为前、中、后及上、中、下共九个区。

7.胸廓


正常胸廓由软组织与骨骼组成,两侧对称。


END

医学之声出品 未经授权禁止转载


/ 相关阅读 /

·经典!17句话总结「肺部感染」的影像诊断

/ 推荐阅读 

·这样教你看心电图,没有理由看不懂 !

文章引用微信公众号"医学之声",如有侵权,请联系管理员删除!

博客评论
还没有人评论,赶紧抢个沙发~
发表评论
说明:请文明发言,共建和谐网络,您的个人信息不会被公开显示。