嘴里抠出来的这种小东西,闻起来滂臭又上头,很多人都有

2023-06-30 12:13   107   0  




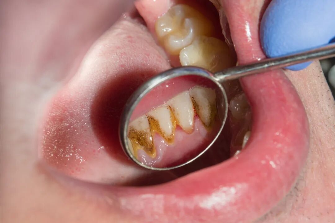
这种让人脚趾抠出一幢别墅的社交绝症——口臭,你经历过吗?


大多时候臭的都是别人,自己一般闻不到,但偶尔手欠扣个牙,从牙缝里抠出来个小石头,闻一下,差点晕倒在厕所。


这下终于知道了别人和自己聊天时臭气熏天的感觉(被熏过的举个手看看)。



图片来源:后台截图



没闻过的朋友们也不要紧,现在就扣扣看,来体验一下这种酸爽(bushi)。


言归正传,抠出来的这些小石头子是啥玩意?怎么能闻起来又臭又上头?


这些小石子其实很有可能是牙结石,不分男女老少,很多人都有。


6 月 26~30 日,口腔低价特惠活动

超声波洁牙 + 抛光,双人成团 25 元起

↓↓↓

-平台预约活动特惠-





很多人都有牙结石,却常被忽视

不仅发臭,还危及健康



牙结石,顾名思义就是长在牙齿上的结石。


试着照照镜子,尤其关注那些平常刷牙时照顾不到的死角、牙缝、牙龈边缘。


是否能看见紧紧吸附在牙齿上的一些黄黄的,或者是褐色、黑色的小硬物?



图片来源:视觉中国



这就是牙结石,它本身并不可怕,可怕的是它的存在率太高了,相关数据显示[1]


15 岁人群,牙结石检出率高达 73.6%;

35~44 岁人群,牙结石检出率高达 96.7%;

55~64 岁人群,牙结石检出率高达 96.4%。


说来奇怪,牙结石是怎么形成的?明明每天都刷牙,怎么好端端的会长牙结石?


先给大家植入一个概念——即便每天刷牙,也避免不了牙结石的生成。


我们来算一下,人每天差不多刷 2 次牙,吃 3 顿饭,还没算上零食饮料之类的额外摄入。


这时如果没有及时清洁或者清洁不到位,食物残渣残留在口腔内,会聚集大量细菌形成牙菌斑。


每天 2 次刷牙清除牙菌斑的速度,远远跟不上它生成的速度。牙菌斑时间久了经过矿化,就会形成牙结石。


归根结底,大多是因为口腔卫生没做到位。



图片来源:GIPHY



牙结石还非常会隐身,不光从视觉上瞒天过海,存在的位置也是犄角旮旯的地方,有一些还会藏在龈下,仅凭肉眼很难辨别,所以常常被人忽视。


而且牙结石很有野心,不单单满足于只是附着在牙齿上,会逐渐向牙龈内部渗透,占地为王。


等到牙痛发炎到嗷嗷叫的时候(懂的都懂),才发觉可能是这个小石头搞的鬼。


久而久之还可能引起牙龈炎、牙周炎,甚至是重度牙周炎、牙齿松动。


刺激来刺激去,好好的牙齿就掉了。


就是这样一颗颗小小的毫无存在感的石头,如果放任不管,最后真可能给你一份「惊喜」,收获种植牙、假牙大礼包。


免费抽 30 份超声波洗牙,不限地区

进群参与,还有机会领以下好礼

↓↓↓





预防、清除牙结石

从这 2 件小事做起



牙结石一旦形成,就好比炒菜油锅里的油渍,时间久了再想刷掉可就难了。


想大力出奇迹的用手扣掉?想想就好,操作起来,很可能一不小心把牙龈扣发炎了。


想要科学有效的预防并且清除它,可以做好以下 2 点。


1. 正确刷牙


餐后及时正确的刷牙,可以预防一部分的牙菌斑形成


但仅靠刷牙最多只能清除 50% 的牙菌斑、软垢等[2],清除不了已经存在的牙结石。


把牙齿看成一个立体的形状,暴露在口腔内的总共有 5 个面,除了上下咬合和靠唇的 2 面刷牙时可以顾及到,像牙缝间、靠舌侧的 3 个牙面很难清理。



图片来源:视觉中国



所以还需要使用牙线、牙缝刷、漱口水冲牙器进行口腔护理。


2. 定期洗牙


正所谓「你有张良计,我有过墙梯」,面对刷牙都难以解决的牙结石,可以使出绝技大招——洗牙。


《中国居民口腔健康指南》中给到了建议,提倡每年洗牙 1 次 + 1 次口腔健康检查。


洗牙,就是通过超声波高频的震动来「扫黑除恶」,把牙齿表面的细菌保护伞打个片甲不留,震落牙齿表面的牙结石、菌斑和色素。


如果牙结石积累的比较多,难以清洁干净,医生可能会用一些器械手动进行刮除。


洗完牙后表面可能会有一些磨砂感,最后会再用抛光打磨牙齿,使牙齿表面更加光滑平整,恢复原本的光泽。



图片来源:视觉中国



虽然很多人对洗牙、认真刷牙有些抗拒,但通过培养这些生活中简单的小习惯,不光是能维护口腔健康,还能够省去很大一笔后续的牙齿保养费。


看牙有多贵,相信大家也有所耳闻,所以不如从小事做起,定期洗牙、清洁口腔,远离口腔疾病威胁。


6 月 26~30 日,口腔低价特惠活动

超声波洁牙 + 抛光,双人成团 25 元起

↓↓↓

-平台预约活动特惠-





效果明显,方便快捷

洗牙 4 大优势



洗牙再好,还是让不少人费解,为啥每次去看牙,医生都建议洗牙?是为了多赚钱吗?洗一次牙花费上千,是不是遇到了「洗牙刺客」?


并不是!洗牙是小成本大产出的事情,有以下 4 种优势,相信看完你会消除对洗牙的大部分误解。


1. 效果明显,基本无依赖性

不同于其他项目,可能需要在短时间内多次复诊,才能达到良好的治疗效果。


洗牙做一次就有明显效果,即便是难以祛除的龈下结石,也可以通过深度洁治来清除,半年到一年做一次即可,基本没有依赖性。


2. 花费时间短,方便快捷


洗牙时间长短取决于牙结石的多少,一般来讲一次短则十几分钟,长则不到一个小时。


如果说牙结石很少,牙齿没什么大问题,洗牙时只需清除一般的牙结石和牙菌斑。


如果你的牙结石非常多,又或者牙齿上有长期沉淀的烟渍、色素沉着的话,需要的时间就会久一些。



图片来源:视觉中国



3. 价格便宜,性价比高


一次洗牙通常花费几十元到几百元不等,可以说是治疗牙齿里成本非常低的一个项目。


医生劝你洗牙,不一定是为了多赚钱,是因为牙结石真该洗了!


再不洗,等到牙齿出现问题,补牙花费大几百、根管治疗大几千、种植牙得上万……不光是价格翻倍,疼痛也是翻倍提升,所以洗牙是一件性价比较高的事情。


如果遇到了上千元的洗牙,也不一定是被坑了,可能是因为已经发展为了牙周炎,里面很大一部分费用是治疗口腔问题的费用,不是单纯的洗牙费。


4. 洗牙时,深度检查口腔健康


洗牙的时候,医生还能发现口腔里其他潜在的问题,或者一些早期疾病迹象,就相当于给口腔做了一个深度的检查。


有问题及时治疗,以预防更严重的口腔疾病问题。一次洗牙得到两份服务,怎么算都不亏。


6 月 26~30 日,口腔低价特惠活动

超声波洁牙 + 抛光,双人成团 25 元起

↓↓↓

-平台预约活动特惠-





洗牙能让牙齿变白吗?

常见热门 Q&A



即便了解了洗牙的优势,还是有不少「反洗牙」的声音存在,甚至传出了一些误区,今天也给大家做一个科普。


1. 洗牙伤牙吗?会让牙齿变薄吗?


洗牙不会伤害牙齿,更不会把牙齿洗薄。牙齿表面的牙釉质是人体最坚硬的部位,没有那么脆弱。


感觉变薄,是因为原来附着在牙齿上的牙结石减少了,原来紧紧相连的牙结石和牙齿分开后,可能会有牙齿变薄的错觉。


2. 洗牙过程中,为什么会出血?


洗牙过程中,通常不会出血。如果有出血现象,多是因为牙周问题导致,如牙龈萎缩、牙周炎等。


洗牙祛除牙结石时,刺激到了充血的牙龈,从而出血,通常 2~3 天就会缓解。


3. 洗牙会让牙缝会变大吗?


不会,实际上牙缝本身就存在,不是洗牙造成的。牙结石在牙齿内附着时间过长,占据了牙缝中的位置。


当洗完牙后牙石被祛除,牙龈也恢复正常,就会感觉牙缝空落落的,造成牙缝变大这种错觉。


总的来说,养成定期洗牙的好习惯,希望咱们人人都能有一口好牙~


6 月 26~30 日,口腔低价特惠活动

超声波洁牙 + 抛光,双人成团 25 元起

多城享口腔护理家庭套卡,仅需 69 元起

享补牙/洁牙/拔牙多种项目体验

↓↓↓

-平台预约活动特惠-



免费抽 30 份超声波洗牙,不限地区

进群参与,还有机会领以下好礼

↓↓↓





本文审核专家


史伟萍

口腔科主治医师

浙江大学医学院附属第二医院


参考文献


[1] 冯希平. 中国居民口腔健康状况——第四次中国口腔健康流行病学调查报告[C]//中华口腔医学会口腔预防医学专业委员会.

[2]  徐韬. 口腔预防医学[M]. 第 2 版. 北京:北京大学医学出版社,2013.12.


策划制作


策划:秋秋、阿哲

监制:水衣

排版:阿哲


文章引用微信公众号"丁香医生",如有侵权,请联系管理员删除!

博客评论
还没有人评论,赶紧抢个沙发~
发表评论
说明:请文明发言,共建和谐网络,您的个人信息不会被公开显示。